Transforming Arterial Analysis with Computer Vision
Empowering cardiovascular researchers with automated ultrasound imaging analysis.

The Challenge with Arterial Analysis

Cardiovascular researchers face a significant challenges when analyzing arterial ultrasound data. The traditional manual process of measuring arterial parameters frame by frame is not only incredibly time-consuming but also introduces the risk of human error and inconsistency. This limits the pace of discovery and translation in this critical field, where insights can directly impact patient outcomes.

The MAUI Solution

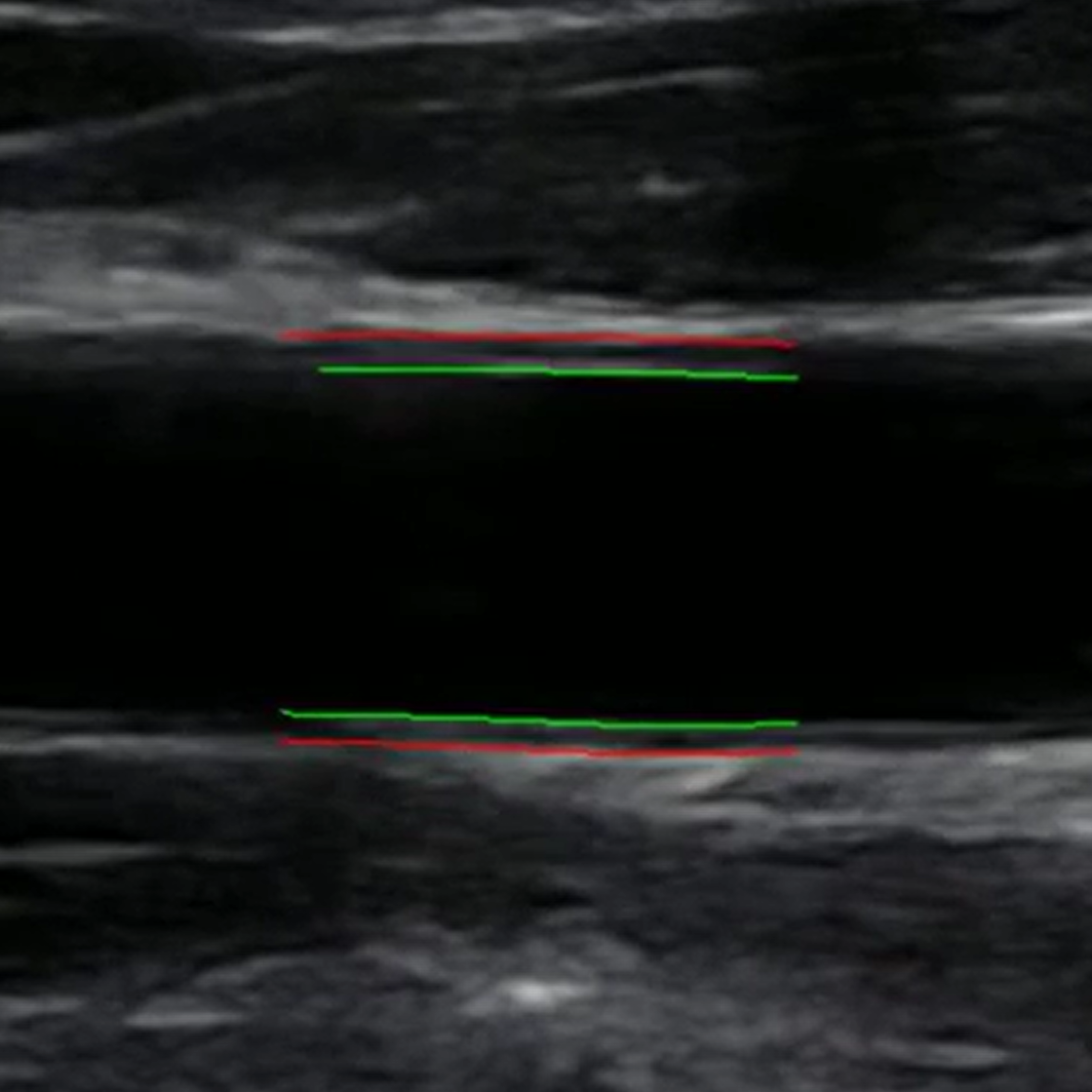
MAUI (Measurements from Arterial Ultrasound Imaging) overcomes these challenges by automating the analysis of ultrasound videos. Utilizing state-of-the-art computer vision algorithms, MAUI accurately detects and tracks arterial walls, enabling researchers to:

  • Measure intima-to-intima diameter, intima-media thickness (IMT), and blood velocity.
  • Obtain reliable, continuous diameter measurements throughout the cardiac cycle.
  • Ensure high accuracy and eliminate inter-rater variability.

Using MAUI, researchers can analyze more data in less time, accelerating the pace of discovery and enabling the investigation of novel research. Additionally, MAUI standardizes analysis across different labs and institutions, enhancing collaboration and leading to new insights into vascular physiology and disease mechanisms. This collaborative effort paves the way for developing innovative diagnostic and therapeutic strategies that ultimately improve patient care.

Check out the Hedgehog Medical Website

My Role: Turning Vision into Reality

MAUI was born out of my passion for leveraging technology to solve real-world problems. During my MASc research at the University of Waterloo, I learned of the painstaking process of manually analyzing arterial ultrasound data. With my background in engineering and computer vision, I created the first working version of MAUI for researchers on campus.

But I didn't stop there. I had a vision of making this powerful tool accessible to researchers everywhere.

To achieve this I founded Hedgehog Medical and recruited Ahmed Gawish (Computer Vision Engineer) and James Stone (Software Engineer) to further refine MAUI and expand its capabilities. This allowed me to shift my focus from writing code to developing the business model around the technology. This involved:

  • Talking to end users and translating their needs into technical requirements for the engineering team.
  • Understanding the competitive landscape and ensuring we had a strong value proposition along with competitive pricing.
  • Designed branding and marketing materials as well as conducted sales and customer support of the software.

Turning MAUI from an idea into research and then into a commercially successful software product allowed me to explore and develop my skills in leading engineering teams as well as building a business. I'm proud to have navigated this journey, and together with a team, created a tool that is now making a real difference in cardiovascular research worldwide.

Improving Cardiovascular Research

Since its launch in 2015, MAUI has become the go-to tool for arterial analysis in top cardiovascular physiology labs worldwide:

"MAUI diameter tracking is outstanding! I take many ultrasound videos for my research and once I began using the software I saved a lot of hours tracking diameters. It is simple to use, does an excellent job at tracking the artery walls and has a great pausing feature that is beneficial for long videos. The team has been very committed to helping me get the most out of diameter tracking and I wouldn’t even consider using other software."

- Michelle Favre, Rutgers University

Researchers consistently praise MAUI's ability to streamline their work and provide reliable data:

"If I didn’t used MAUI, it would probably take me several months to process my data. Before I was introduced to MAUI, I used manually acquired arterial diameter software and it took me hours to properly obtain measurements. When I started using MAUI, I was able to process 10x more ultrasound videos in a day as well as getting continuous arterial diameter measurements. Also, one main feature that I like about MAUI is that I can use it remotely. I was able to work at home and even on the bus. Overall, MAUI is a great tool for flow mediated diameter (FMD) studies and other arterial wall tracking studies."

- Chris Delayun, University of Waterloo

MAUI-Powered Publications

MAUI has powered over 20 high-impact studies in prestigious journals such as Nature Scientific Reports, Journal of Applied Physiology, and Ultrasound in Medicine & Biology:

  • The Effect of Self-identified Arm Dominance on Exercising Forearm Hemodynamics and Skeletal Muscle Desaturation (2024) Jacob L Schwartz, Trishawna A Fongwoo, Robert F Bentley. Public Library of Science: PLOS One
  • Biological Sex does not Influence the Peak Cardiac Output Response to Twelve Weeks of Sprint Interval Training (2023) William Bostad, Jennifer S Williams, Emily K Van Berkel, Douglas L Richards, Maureen J MacDonald, Martin J Gibala. Nature: Scientific Reports
  • The 'Normal' Adjustment of Oxygen Delivery to Small Muscle Mass Exercise is not Optimized for Muscle Contractile Function (2023) Patrick J Drouin, Taylor Liu, Lindsay A Lew, Ellen McGarity‐Shipley, Michael E Tschakovsky. Wiley Online Library: The Journal of Physiology
  • The Impact of Local Heat Therapy on Vascular Function in Young, Healthy, Recreationally Active Adults (2023) Jem L Cheng. McMaster University: Thesis
  • The Role of Oxygen Delivery in Mediating Voluntary Excitation-Contraction Coupling: An Oxygen Conforming Response of Muscle Contraction Force (2023) Patrick Jonathan Drouin. Queen's University: Thesis
  • Contribution of Arteriolar Distension to Rapid Onset Vasodilation Following a Single Contraction (2023) Taylor Liu. Queen's University: Thesis
  • Muscle Contraction Force Conforms to Muscle Oxygenation During Constant‐activation Voluntary Forearm Exercise (2022) Patrick J Drouin, Stacey PA Forbes, Taylor Liu, Lindsay A Lew, Ellen McGarity‐Shipley, Michael E Tschakovsky. Wiley Online Library: Experimental Physiology
  • Cardiovascular and Inflammatory Consequences of Adverse Childhood Experiences (2022) Kylie S Dempster. Brock University: Thesis
  • Thirty Minutes of Sub-diastolic Blood Flow Occlusion Alters Carpal Tunnel Tissue Function and Mechanics (2022) Amanda Farias Zuniga, Peter J Keir. Elsevier: Ultrasound in Medicine & Biology
  • The Impact of Preconditioning Exercise on the Vascular Response to an Oral Glucose Challenge (2021) Jason S Au, Kayleigh M Beaudry, Kristian Pancevski, Richard L Hughson, Michaela C Devries. NRC Research Press: Applied Physiology, Nutrition, and Metabolism
  • Intermittent Compression of the Calf Muscle as a Countermeasure to Protect Blood Pressure and Brain Blood Flow in Upright Posture in Older Adults (2021) KA Zuj, ET Hedge, JD Milligan, SD Peterson, RL Hughson. Springer: European Journal of Applied Physiology
  • Improvements in Vascular Function in Response to Acute Lower Limb Heating in Young Healthy Males and Females (2021) Jem L Cheng, Jennifer S Williams, Sven P Hoekstra, Maureen J MacDonald. American Physiological Society: Journal of applied physiology
  • Case Studies in Physiology: Using Premature Ventricular Contractions to Understand the Regulation of Carotid Artery Longitudinal Wall Motion (2021) Kailey A Stevens, Jason S Au. American Physiological Society: Journal of Applied Physiology
  • Ultrasound Examination Predicts 6‐month Progression in Carpal Tunnel Syndrome Patients (2021) Amanda Farias Zuniga, Amer A Ghavanini, Gaspar Israelian, Peter J Keir. Wiley Online Library: Journal of Orthopaedic Research
  • Adverse Childhood Experiences (ACEs) Predict Increased Arterial Stiffness from Childhood to Early Adulthood: Pilot Analysis of the Niagara Longitudinal Heart Study (2020) Talha Rafiq, Deborah D O'Leary, Kylie S Dempster, John Cairney, Terrance J Wade. Springer: Journal of Child & Adolescent Trauma
  • Blood Flow Velocity but not Tendon Mechanics Relates to Nerve Function in Carpal Tunnel Syndrome Patients (2020) Amanda Farias Zuniga, Amer A Ghavanini, Gaspar Israelian, Peter J Keir. Elsevier: Journal of the Neurological Sciences
  • Ultrasound Vector Projectile Imaging for Detection of Altered Carotid Bifurcation Hemodynamics During Reductions in Cardiac Output (2020) Jason S Au, Billy YS Yiu, Hélène So, Adrian JY Chee, Danielle K Greaves, Richard L Hughson, Alfred CH Yu. Wiley Online Library: Medical Physics
  • Coded Hemodynamic Imaging of the Jugular Vein and Ultrasound Imaging of the Optic Nerve Sheath Diameter During Manipulations of Intracranial Pressure by Head-down Tilt (2020) Courtney Patterson. University of Waterloo: Thesis
  • Adverse Childhood Experiences (ACEs) and Cardiovascular Development from Childhood to Early Adulthood: Study Protocol of the Niagara Longitudinal Heart Study (2019) Terrance J Wade, Deborah D O'Leary, Kylie S Dempster, Adam J MacNeil, Danielle S Molnar, Jennifer McGrath, John Cairney. British Medical Journal: BMJ Open
  • Peripheral Artery Endothelial Function Responses to Altered Shear Stress Patterns in Humans (2019) Jem L Cheng, Jason S Au, Maureen J MacDonald. Wiley Online Library: Experimental Physiology
  • Haemodynamic and Cerebrovascular Effects of Intermittent Lower‐leg Compression as Countermeasure to Orthostatic Stress (2019) Travis D Gibbons, Kathryn A Zuj, Chekema N Prince, David C Kingston, Sean D Peterson, Richard L Hughson. Wiley Online Library: Experimental Physiology
  • Case Studies in Physiology: Case Studies in Physiology: Visualization of Blood Recirculation in a Femoral Artery "Trifurcation" Using Ultrasound Vector Flow Imaging (2019) Jason S Au, Billy YS Yiu, CH Alfred. American Physiological Society: Journal of Applied Physiology
  • Case Studies in Physiology: Visualization of Blood Recirculation in a Femoral Artery "Trifurcation" Using Ultrasound Vector Flow Imaging (2019) Jason S Au, Billy YS Yiu, Alfred CH Yu. American Physiological Society: Journal of Applied Physiology
  • Fatigue-independent Alterations in Muscle Activation and Effort Perception During Forearm Exercise: Role of Local Oxygen Delivery (2019) Patrick Jonathan Drouin, Zach Ian Nelson Kohoko, Olivia Kitty Mew, Mytchel James Thomas Lynn, Alyssa M Fenuta, Michael E Tschakovsky. American Physiological Society: Journal of Applied Physiology
  • Superficial Femoral Artery Blood Flow with Intermittent Pneumatic Compression of the Lower Leg Applied During Walking Exercise and Recovery (2019) Kathryn A Zuj, Chekema N Prince, Richard L Hughson, Sean D Peterson. American Physiological Society: Journal of Applied Physiology
  • Enhanced Muscle Blood Flow with Intermittent Pneumatic Compression of the Lower Leg During Plantar Flexion Exercise and Recovery (2018) Kathryn A Zuj, Chekema N Prince, Richard L Hughson, Sean D Peterson. American Physiological Society: Journal of Applied Physiology
  • Determining Arterial Blood Velocity Using MAUI Software from Recorded Doppler Ultrasound Videos (2017) Ahmed Gawish, Jason Deglint, Kathryn Zuj, Mikel Egana, Joel Rocha, Alex Wong, Richard Hughson. North American Artery: Division of Sport and Exercise Sciences
  • Hemodynamic Effects of Intermittent Compression as a Countermeasure to Orthostatic Stress (2017) Travis Gibbons. University of Waterloo: Thesis
  • A New Software for Determining Changes in Arterial Diameter Over Time (2016) Kathryn Zuj, Jason Deglint, Ahmed Gawish, Alexander Wong, David A Clausi, Richard L Hughson. Atlantic Press: Artery Research
  • Active Contours for Measuring Arterial Wall Diameter of Astronauts from Ultrasound Images (2015) Jason Deglint, Ahmed Gawish, Kathryn Zuj, Alexander Wong, David Clausi, Richard L Hughson. Kitchener-Waterloo Vision and Imaging Society: Journal of Computational Vision and Imaging Systems
© 2024 Jason Deglint